随着现代技术的发展和人们生活水平的变化,人们对试管婴儿已不再陌生,那么你们知道“试管”的“宝宝们”长啥样吗?可爱的?调皮的?漂亮的?帅气的?

其实“试管”中的“宝宝们”,还只是处于细胞阶段,“年龄”是按日子来计算的。
一般精子和卵子结合以后形成的胚胎,会被连续培养到第6天,发育潜能好的胚胎会被移植入母体或者冷冻起来。
那么试管“宝宝们”究竟长啥样呢?让我们一起揭开这个神秘的面纱吧!
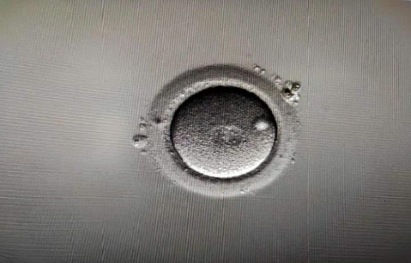
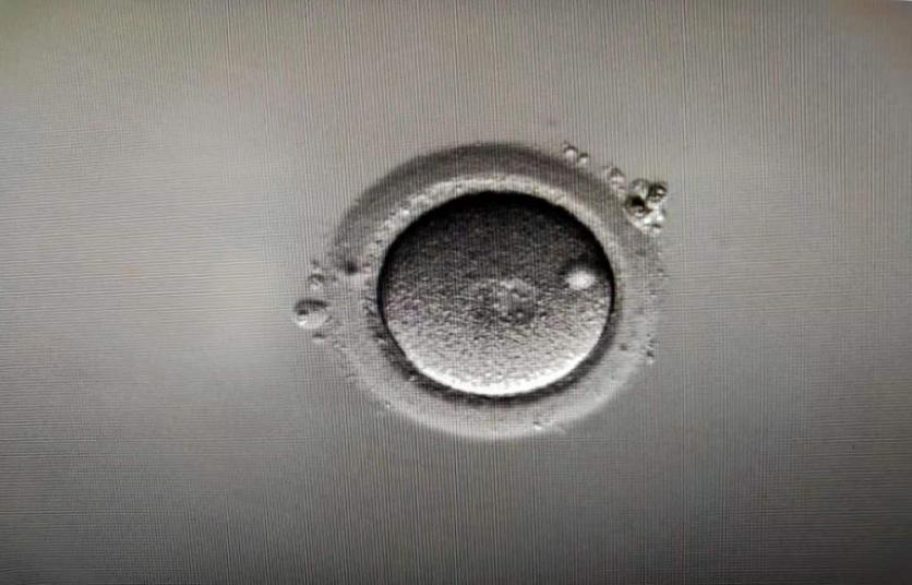
精子和卵子结合后的第1天

胚胎出现两个原核
精子和卵子结合后的第2天

胚胎分裂成4个细胞
精子和卵子结合后的第3天

胚胎分裂成8个细胞
精子和卵子结合后的第5/6天

DAY5或DAY6囊胚期:形成囊腔,并分化出内细胞团和滋养层
胚胎在发育到第3天或者第5天的时候,被移植入女性的体内。
接下来,我们一起欣赏一下“试管宝宝”在广东省生殖医院培养皿前三天的动态发育过程吧。
现在的你们,对试管宝宝们的样子,有所了解了吗?


